Infants undergo rapid brain development in the first weeks of life, with structures that are continuously changing and fundamentally different from adult brains in both anatomy and tissue contrast. In neonatal intensive care units (NICUs), infants are often in a critical condition, requiring constant monitoring while connected to life-support and monitoring equipment. Many of these infants suffer from a range of neurological pathologies that must be closely tracked over time. Frequent MRI scans can be essential for monitoring disease progression or treatment response, but standard high-field (HF) MRI requires disconnecting infants from life-support systems and transporting them to a dedicated scanner room. This process is time-consuming and often involves sedation or exposure to high noise levels, increasing medical risk, delaying diagnosis, and limiting access to imaging.
Portable ultra-low-field MRI (uLF-MRI, 0.064T) enables bedside neonatal neuroimaging but suffers from low SNR and reduced diagnostic quality. Improving the image quality of uLF MRI can minimize these risks while providing valuable diagnostic insights. Our proposed MRIQT is based on that specific clinical need, and performs 3D image quality transfer (uLF→HF) using a conditional diffusion model guided by physics-aware k-space simulation and an anatomy-preserving 3D perceptual objective. We work on a cohort of neonatal patients with an average age of 2 months, and a wide range of clinically relevant neurological pathologies (9 different pathologies), often occurring as compound pathologies.
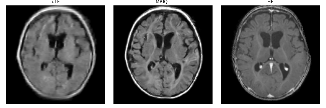
A sample of uLF, our MRIQT, and the HF for a selected case

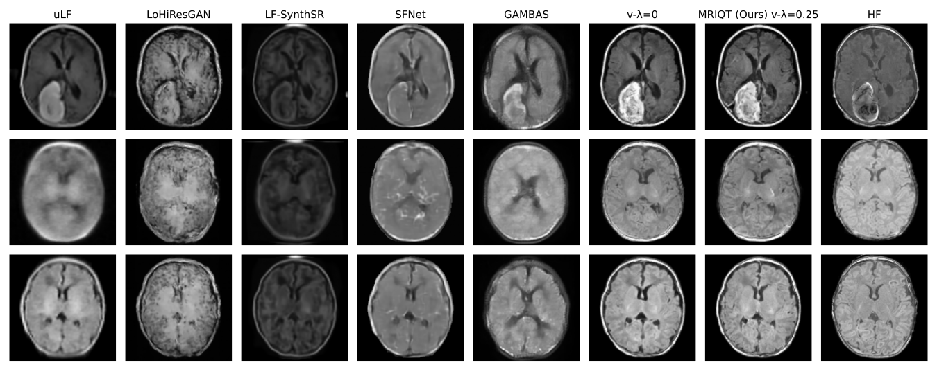
Quntitative and Qulaititative Results
A comparison of our MRIQT with other competitirs w.r.t PSNR, LPIPS, MAE, MS-SSIM, SSIM, and Pearson Correlation metrics:

Key components
Training: MRIQT is trained as a conditional diffusion model using physics-based uLF simulations to guide anatomically faithful reconstruction from noisy inputs.

Inference: Given a real uLF scan, MRIQT iteratively denoises a noisy initialization while conditioning on the uLF measurement, yielding a high-quality reconstruction.

If you use this work in your research, kindly cite our paper. The paper has just been accepted at the IEEE International Symposium on Biomedical Imaging (ISBI) in London. Citation key will be updated, accordingly.
@misc{alabed2025mriqt,
title = {MRIQT: Physics-Aware Diffusion Model for Image Quality Transfer in Neonatal Ultra-Low-Field MRI},
author = {Malek Al Abed and Sebiha Demir and Anne Groteklaes and Elodie Germani and Shahrooz Faghihroohi and Hemmen Sabir and Shadi Albarqouni},
year = {2025},
eprint = {2511.13232},
archivePrefix = {arXiv},
primaryClass = {cs.CV},
doi = {10.48550/arXiv.2511.13232},
url = {https://arxiv.org/abs/2511.13232}
}