Computational Medical Imaging Research (Albarqouni Lab)

Clinic for Diagnostic and Interventional Radiology

University Hospital Bonn

Faculty of Medicine

University of Bonn

The Albarqouni Lab, based at the Clinic for Diagnostic and Interventional Radiology at the University Hospital Bonn, conducts research at the intersection of medical imaging, artificial intelligence, and collective intelligence.
The lab’s mission is to develop the next generation of computational imaging algorithms that improve clinical decision-making while remaining privacy-preserving, robust, and globally accessible.

Inspired by principles of distributed intelligence, the lab views AI systems not as isolated models, but as collaborative ecosystems—where knowledge is learned locally, shared responsibly, and aggregated to benefit patients and healthcare systems worldwide. This perspective directly informs the lab’s work in federated learning, affordable AI, and trustworthy medical imaging.

The Albarqouni Lab is affiliated with the Munich School for Data Science (MUDS), the Medical Imaging Center Bonn (MIB), and the European Laboratory for Learning and Intelligent Systems (ELLIS).

Research Focus Areas

Research at the Albarqouni Lab is structured around three complementary pillars:

  • Computational Medical Imaging
    The lab develops automated and data-efficient imaging methods that enhance accuracy, robustness, and reproducibility in clinical workflows. Key challenges addressed include limited and noisy annotations, inter- and intra-observer variability, class imbalance, scanner heterogeneity, and domain shift across institutions.

  • Federated Learning in Healthcare
    The lab advances decentralized learning frameworks that enable multiple institutions and AI agents to learn collaboratively without sharing raw data. Research topics include robustness to data heterogeneity, explainability, quality control, resilience to adversarial or poisoning attacks, and reliable deployment in real-world clinical environments.

  • Affordable AI for Global Health
    A core commitment of the lab is to design AI solutions that remain effective under resource constraints, including low-quality data, limited infrastructure, and point-of-care settings. This work aims to ensure that advances in medical AI are inclusive, scalable, and impactful beyond high-resource healthcare systems.

Meet the lab members

Computational Imaging Reserach (Albarqouni Lab)

Principal Investigator

Avatar

Shadi Albarqouni

Professor of Computational Medical Imaging Research at University of Bonn | fmr. AI Young Investigator Group Leader at Helmholtz AI | Affiliate Scientist at Technical University of Munich

AI in Medicine, Federated Learning, Affordable AI and Healthcare

Researchers

Avatar

Adea Nesturi

PhD Candidate

Deep Learning for Medical Image Analysis., AI for Healthcare., Computer Vision

Avatar

David D. Gaviria

PhD Candidate

Machine Learning for Medical Imaging, Computer Vision

Avatar

Jiajun Zeng

PhD Candidate

AI4Health, Computer vision, Vision language models, Machine learning

Avatar

Pranav Kirti

Visiting Researcher & Fulbright Scholar

Healthcare accessibility through AI, Computer vision, Multimodal learning

Avatar

Malek Al Abed

Research Associate

Artificial Intelligence for Healthcare, Deep Learning, Computer Vision

Avatar

Amine Ben Dhiab

Master Thesis Student

Avatar

Ashkan Shakarami

Postdoctoral Fellow

Artificial General Intelligence, Computer Vision, Neural Networks, Computer-Aided Diagnosis, Histopathology, Ophthalmology

Avatar

Mohammad Taha

Bachelor Student

Avatar

Somayeh Zamani

Research Associate

Clinical AI Assistants for Healthcare, Machine Learning for Medical Applications, Graph Neural Networks, Explainable AI

Clinical Collaborators

Avatar

Hyun Ko

Radiology Clinician Reseacher at Peter MacCallum Cancer Centre, Australia

Avatar

Valentin Schäfer

Professor and Head of the Department of Rheumatology and Clinical Immunology at the Clinic of Internal Medicine III at Universitätsklinikum Bonn

Avatar

Hemmen Sabir

Professor and Head of Experimental Neonatology

Avatar

Barbara Wichtmann

Fachärztin für Radiologie at Universitätsklinikum Bonn

Avatar

Martina Herwig-Carl

Professor, Oberärztin der Augenklinik am Universitätsklinikum Bonn

Alumni

Avatar

Elodie Germani

Postdoctoral Researcher

Avatar

Parinishtha Bhalla

Master Thesis Student and Research Assistant (HiWi)

Avatar

Mert Ikinci

Master Thesis Student

Avatar

İlayda Selin Türk

Master Thesis Student

Avatar

Anna Lisitsyna

Research Scientist

Avatar

Diletta Chiaro

Visiting PhD Student

Avatar

Elyes Farjallah

Research Assistant (HiWi)

Avatar

Sarah Schaab

Master Student and Research Assistant (HiWi)

Avatar

Carlos Fernández Del Cerro

Visiting PhD Student

Avatar

Nada El Darra

Visiting Scientist

Avatar

Manuela Bergau

Researcher

Avatar

Cosmin Bercea

Researcher

Avatar

Tobias Bernecker

Master Student

Avatar

Anna Bodonhelyi

Research Assistant (HiWi)

Avatar

Aya ELGebaly

Master’s Thesis Student

Avatar

Mazen Soufi

Visiting Scientist

Avatar

Qiongkai Xu

Visiting PhD Student and Research Fellow of Security in NLP

Avatar

Simone Löhlein

Master Student

Latest News

Research Themes

Active Research Themes. Thanks to our great collaborators!

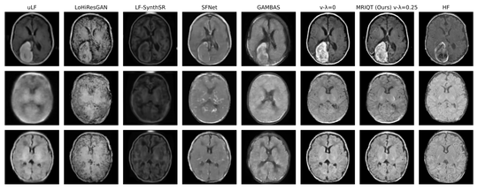
MRIQT

Physics-aware diffusion model for uLF-to-HF image quality transfer in neonatal MRI.

Affordable AI and Healthcare

We are also interested in developing affordable AI solutions suitable for poor-quality data generated by low infrastructure and point-of-care diagnosis.

Deep Federated Learning in Healthcare

This 5 years Helmholtz funded project to advance the field with Federated Learning algorithms in Medicine (2020-2025)

Learn from Crowds

Crowdsourcing, Gamification

Learn from Prior Knowledge

Manifold Learning, Graph Convolutional Networks

Learn to Adapt

Domain Adaptation, Style Transfer

Learn to Learn

Meta-Learning, Few-Shot Learning

Learn to Reason and Explain

Interpretable ML, Disentangled Representation, Fairness

Learn to Recognize

Detection, Classification, Segmentation, Anomaly Detection, Semi-/Weakly-Supervised Learning

Funded Research Projects

Thanks to the 3rd party funding from EU, DFG, DAAD, BMBF, AGYA, GIZ and BaCaTec

Symposium on AI in Medicine & Food Science

Time: All times correspond to local Bonn time (CET) Day 1 — Tuesday, 9 December 2025 Arrival & Check-in 📍 Youth Hostel Bonn, Haager Weg 42, 53127 Bonn Day 2 — Wednesday, 10 December 2025 Symposium on AI in Medicine

Summer School on Affordable AI (SAAI)

BMBF Funded Project with the Arab-German Young Academy for Science and Humanities (2024-2024)

Open Medical Inference (OMI)

BMBF Funded Project through Medical Informatics Initaitive (MII) consortia (2024-2028)

Affordable AI and Collaborative Federated Learning for Global Healthcare (EEDA)

DAAD Funded Project with Beirut Arab University, Lebanon (2023-2023)

Deep learning to estimate aging from chest imaging

The 3-year DFG Funded project with UniKlinikum Freiburg (2023-2026)

Development of a Deep Learning Toolkit for MRI-Guided Online Adaptive Radiotherapy

The 3-year DFG Funded project with LMU and TU Munich (2022-2025)

BigPicture Project

The 6-year EU Funded €70 million project called BIGPICTURE will herald a new era in pathology

Deep Federated Learning in Healthcare

This 5 years Helmholtz funded project to advance the field with Federated Learning algorithms in Medicine (2020-2025)

Modelling Uncertainty in Deep Learning for Medical Applications

DAAD Funded Project with ETH Zürich and Imperial College London (2020-2022)

Telemedicine in Palestine

Telemedicine in Palestine from Shadi Nabil Albarqouni Collaboration: Funding:

Uncertainty Aware Methods for Camera Pose Estimation and Relocalization

BaCaTeC Funded Project with Stanford University and Siemens AG (2020-2021)

Students

Teaching courses, Theses, and Internships

Block Course: AI in Medicine (AiM): Foundations, Methods, and Critical Perspectives

The Computational Imaging Research (CoMI) Seminar at the University of Bonn explores current research in Computational Medical Imaging, including classical algorithms and deep learning-based approaches. Students critically analyze state-of-the-art research and develop both technical and presentation skills.

Seminar: Computational Medical Imaging (CoMI)

The Computational Imaging Research (CoMI) Seminar at the University of Bonn explores current research in Computational Medical Imaging, including classical algorithms and deep learning-based approaches. Students critically analyze state-of-the-art research and develop both technical and presentation skills.

Special Version: AI in Radiology – From Pixels to Decisions (AiR-GUC Edition)

A special joint seminar between the University of Bonn and the German University in Cairo (GUC), delivered under the Joint Teaching Initiative. This interdisciplinary course explores AI in Radiology from both technical and clinical perspectives, combining computational medical imaging and deep learning to foster cross-cultural collaboration, innovation, and sustainable academic exchange.

Call for Applications: Summer School on Biomedical Imaging with Deep Learning (BILD)

Our lab at Universitätsklinikum Bonn, and The University of Bonn in cooperation with the Lebanese American University, University of Tunis El Manar, and Duhok Polytechnic University are delighted to announce the upcoming BILD Summer School in Tunis, 1-5 September 2025.

BA/MA thesis on Modeling brain changes related to physical activity with machine learning

Abstract. In the last decade, several studies suggested that physical fitness may positively influence brain and cardiovascular health. Brain health is usually assessed through structural and functional imaging techniques to extract biomarkers of aging that can be used to predict brain age ( Dunås et al.

Community Engagement

Professional Services and Invited Talks

Organzie the Symposium on AI in Medicine and Food Sciences

Over the past two days, we had the pleasure of hosting our SANAD symposium on AI in Medicine and Food Sciences within the framework of the DAAD Ta’ziz project, welcoming a delegation from Tunisia, Lebanon, and Iraq.

Invited Keynote at the 12th International Conference on Intelligent Computing and Information Systems (ICICIS) in Cairo, Egypt

I had the pleasure to give a keynote on Leveraging Collective Intelligence for Inclusive Global Healthcare at the 12th International Conference on Intelligent Computing and Information Systems (ICICIS) in Cairo, Egypt. I had the chance to meet and discuss further collaboration with the dean at the Ain Shams University Prof. Dr. Rasha Ismail, Prof. Dr. Hassan Abdalla from East London University, and Prof. Robert Sloan, from University of Illinois Chicago, and Prof. Huan Liu from Arizona Satet University.

Contributed to the GLOHRA’s fact-finding mission to Brussels

I recently had the privilege of joining the Steering Committee of the German Alliance for Global Health Research (GLOHRA) in Brussels for a fact-finding mission from 17–20 November 2025.

David participated with an oral presentation at the 10th BIGS Clinical & Population Science Student Retreat

On 27–28 Oct 2025 in Bonn, I attended the 10th BIGS Clinical & Population Science Student Retreat—a focused two-day program across the life sciences that highlighted post-PhD career pathways and the central role of human-in-the-loop AI in healthcare—featuring inspiring keynotes, the EnaCom “Research-to-Use-Case” workshop, and targeted networking.

Organzie the Summer School on Biomedical Imaging with Deep Learning (BiLD)

We have just wrapped up an inspiring week of the BILD Summer School 2025 in Tunis, and I could not be more grateful for the people and partnerships that made this possible. A heartfelt thank you to the University of Tunis El Manar, represented by the Rector Prof. Moez CHAFRA and his vice rectors, for their warm welcome and strong support of this initiative. Your presence was an honor and an encouragement to all of us

Recent Publications

Quickly discover relevant content by filtering publications.

Open Positions

Admin., Research Assistants, PhDs, Postdocs, and Medical Research Assistants. We do accept applications on an on-going basis, so feel free to send your motivation letter, resume, and your transcript via email or here.

CIR/01/2026: Ph.D. position in AI in Medicine: Foundation Models (m/f/d)

starting April 2026 or as agreed upon. The position is initially limited to three years, with the possibility of extension.

Contact

  • Baunscheidtstr. 17, Bonn, DE- 53113
  • Floor 2, BonnJour